Записи с меткой «виниры»

Как ставят виниры: все об этапах установки

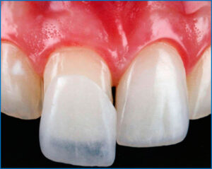
Хотите ровные и белоснежные зубы без долгого ношения брекетов или отбеливания? Виниры — отличное решение! Эти тонкие накладки мгновенно скрывают дефекты зубного ряда, даря вам уверенность в своей улыбке. Преимущества виниров: ✔ Мгновенный результат — зубы становятся идеальными уже после первого посещения. ✔ Естественный вид — современные материалы (керамика, композит) имитируют натуральную эмаль. ✔ Долговечность …

Виниры для голливудской улыбки: совершенство в деталях

В эстетической стоматологии винирование стало золотым стандартом создания безупречной улыбки. Тонкие керамические накладки позволяют корректировать форму, цвет и положение зубов без сложного ортодонтического лечения. Особое внимание уделяется зоне улыбки — именно здесь чаще всего применяют виниры. Современные технологии предлагают установку виниров в Ростове без обточки, что сохраняет здоровье натуральных зубов. Цельнокерамические виниры идеально имитируют естественную …